ניתוח ראשון בעולם באסותא אשדוד: קיבוע עמוד שדרה בברגים ומוטות מקרבון (וידאו)
23.11.25 / 10:59
ניתוח ראשון מסוגו בעולם בוצע השבוע בבית החולים אסותא אשדוד: קיבוע עמוד שדרה זעיר-פולשני באמצעות ברגים ומוטות מקרבון, פיתוח ישראלי של חברת CarboFix.
ניתוח ראשון מסוגו בעולם בוצע השבוע בבית החולים אסותא אשדוד: קיבוע עמוד שדרה זעיר-פולשני באמצעות ברגים ומוטות מקרבון, פיתוח ישראלי של חברת CarboFix.
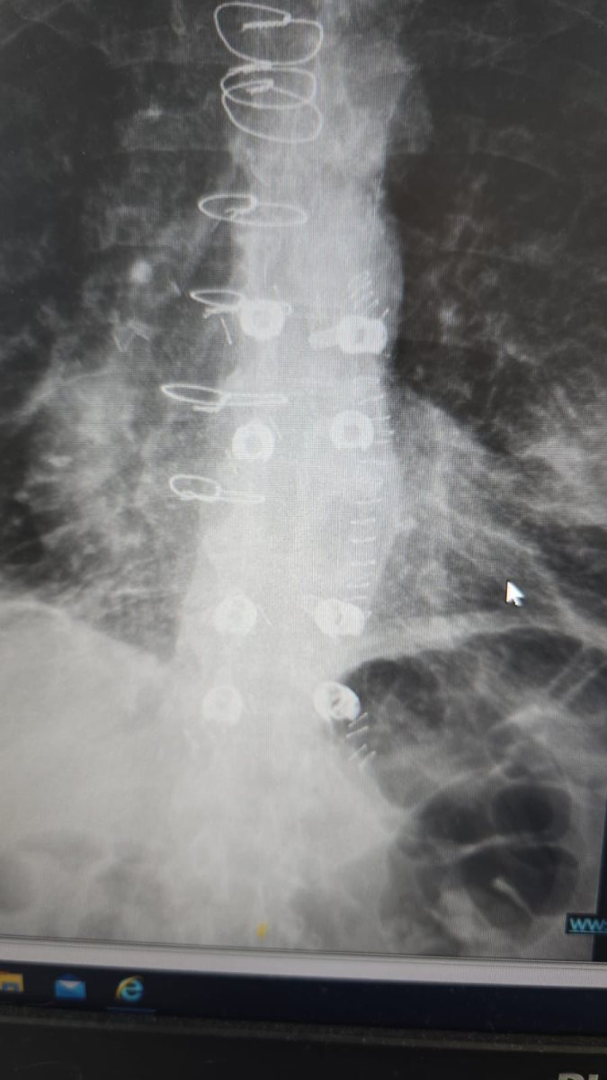
המטופל, גבר בן 60 הלוקה בסרטן ריאה שפיתח גרורה בעמוד השדרה, הגיע למיון בסכנת שיתוק מיידית. במהלך הניתוח הוחדרו 8 ברגים ומוטות מקרבון דרך חתכים של כסנטימטר בלבד, ובמקביל הוסר הגידול שלחץ על חוט השדרה.
**החלמה מהירה**
התוצאות היו דרמטיות: למחרת היום קם החולה על רגליו, יומיים לאחר מכן שוחרר לביתו, ותוך שבועיים יוכל להתחיל טיפולי קרינה וכימותרפיה. בניתוחים מסורתיים מסוג זה נדרשת בדרך כלל החלמה של חודשים.
הטכניקה להכנסת ברגים בעמוד השדרה דרך חתכים זעירים קיימת כ-30 שנה ומשמשת בעיקר לטיפול בשברים. אולם עד כה לא ניתן היה להשתמש בחומר קרבון בשיטה זו בגלל מאפייניו הפיזיקליים המורכבים. חברת CarboFix הישראלית פיתחה פתרון שמאפשר את השילוב.
שתלי הקרבון אינם יוצרים הפרעות בהדמיות MRI ומפחיתים סיכונים בהקרנות, ומאפשרים לרופאים לכוון את הקרינה בדיוק רב יותר לאזור הגידול.
ד"ר מוטי קרמר, מנהל היחידה לניתוחי עמוד שדרה, אמר: "אנחנו לא רק מסירים גידול או מתקנים עמוד שדרה – אנחנו מחזירים לאדם את היכולת ללכת, לתפקד, לחיות. הפיתוח הזה משנה את כללי המשחק."
הטכנולוגיה נמצאת בדרכה לבתי חולים בארצות הברית ובאירופה, וצפויה להשפיע על אלפי חולים ברחבי העולם.
מעוניינים להגיב? לדווח ? צרו איתנו קשר במייל -[email protected]
